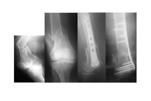
Κάταγμα καλείται η μερική ή ολική λύση της συνέχειας του οστού. Για να γίνει ένα κάταγμα,πρέπει να επιδράσει πάνω στο οστού σημαντική βία. Πολλές φορές όμως προκαλούνται κατάγματα από ασήμαντη βία σε οστού που παρουσιάζει κάποια παθολογία (κύστη, όγκος, οστεοπόρωση κτλ) (παθολογικά κατάγματα). Άλλοτε πάλι, κατάγματα προκαλούνται από μικρής έντασης βίας, η οποία δρα πολλές φορές πάνω σε ένα φυσιολογικό οστό και η οποία εάν επιδρούσε μία φορά, δε θα προκαλούσε κάταγμα (κατάγματα κοπώσεως).

Ο παγκοσμίου κύρους προπονητής αντοχής, διατροφολόγος και συγγραφέας Phil Maffetone θα είναι ο επίσημος προπονητικός συνεργάτης του Heroes Ultra 2016, του υπερμαραθώνιου αγώνα των ηρωικών πρωταγωνιστών της απαγωγής Κράιπε που θα διεξαχθεί για πρώτη χρονιά στην Κρήτη στις 21 Μαΐου. Από τη θέση του προπονητικού συνεργάτη, ο Δρ Maffetone θα μοιραστεί την πλούσια εμπειρία του σε θέματα αντοχής, αγωνιστικής διατροφής και προπονητικού στρες με τους αθλητές και φίλους του Heroes Ultra μέσα από μία σειρά βίντεο που θα γυριστούν αποκλειστικά για τον αγώνα και θα μεταδοθούν από τη σελίδα του αγώνα στο Facebook. Επίσης, ο Δρ Maffetone θα επιβλέψει το διατροφικό πλάνο του αγώνα, η τροφοδοσία του οποίου θα γίνει αποκλειστικά από τοπικές φυσικές τροφές.

Εξαιρετικά ενδιαφέρουσα και πρωτοπόρα ¨Ημερίδα¨ προγραμματίστηκε να πραγματοποιηθεί – υπό την Αιγίδα της Α.Ε. του Προέδρου της Δημοκρατίας Κυρίου Προκόπη Παυλόπουλου – από τη μη κερδοσκοπική εταιρεία ¨Αθλητισμός Χωρίς Αναβολικά¨, με συνδιοργανωτές τον ΣΕΓΑΣ, το Πανεπιστήμιο Θεσσαλίας, την Περιφέρεια Θεσσαλίας και το Δήμο Λαρισαίων. Θα γίνει στο Αμφιθέατρο της Ιατρικής Σχολής του Πανεπιστημίου Θεσσαλίας στη Λάρισα,  οδός Παπακυριαζή 22, Πλατεία Ταχυδρομείου (κτίριο Κατσίγρα), την Παρασκευή 12 Φεβρουαρίου και ώρα 10:00 π.μ. 

ΨΗΦΟΔΕΛΤΙΟ ΔΣ ΑΠΣ ΑΠΟΛΛΩΝ ΔΥΤ ΑΤΤΙΚΗΣ

ΣΤΑΥΡΟΙ ΑΠΟ 1 ΕΩΣ 11

ΥΠΟΨΗΦΙΟΙ ΓΙΑ ΤΟ ΝΕΟ ΔΣ

Στην πόλη της Φλώρινας θα γίνει στις 16 Απριλίου το Βαλκανικό Πρωτάθλημα βάδην για τις κατηγορίες Ανδρών- Γυναικών, Εφήβων- Νεανίδων και Παίδων- Κορασίδων.

Εξαιρετικά ενδιαφέρουσα και πρωτοπόρα ¨Ημερίδα¨ προγραμματίστηκε να πραγματοποιηθεί – υπό την Αιγίδα της Α.Ε. του Προέδρου της Δημοκρατίας Κυρίου Προκόπη Παυλόπουλου – από τη μη κερδοσκοπική εταιρεία ¨Αθλητισμός Χωρίς Αναβολικά¨, με συνδιοργανωτές τον ΣΕΓΑΣ, το Πανεπιστήμιο Θεσσαλίας, την Περιφέρεια Θεσσαλίας και το Δήμο Λαρισαίων. Θα γίνει στο Αμφιθέατρο της Ιατρικής Σχολής του Πανεπιστημίου Θεσσαλίας στη Λάρισα,  οδός Παπακυριαζή 22, Πλατεία Ταχυδρομείου (κτίριο Κατσίγρα), την Παρασκευή 12 Φεβρουαρίου και ώρα 10:00 π.μ.

Η Skiathos Mountain Bikes θα διοργανώσει και το 2016 τον 5ο Ημιμαραθώνιο ορεινού τρεξίματος «Στα μονοπάτια του Παπαδιαμάντη» στις 12 Ιουνίου με ώρα αφετηρίας 08.30π.μ.

ΑΓΩΝΑΣ  ΔΡΟΜΟΥ «ΓΥΡΟΣ  ΚΑΔΜΕΙΑΣ  2015»

Κυριακή  27  ΔΕΚΕΜΒΡΙΟΥ  2015

ΩΡΑ  12:00μεσημβρινή

 

ΟΡΓΑΝΩΣΗ:  ΔΗΜΟΤΙΚΟΣ  ΟΡΓΑΝΙΣΜΟΣ ΘΗΒΑΣ

ΣΥΝΔΙΟΡΓΑΝΩΤΕΣ:Γ.Σ.  ΠΙΝΔΑΡΟΣ  – Σ.Δ.Υ.Μ. ΘΗΒΑΣ –Ε.Α.Σ ΣΕΓΑΣ ΑΝΑΤ. ΣΤΕΡΕΑΣ & ΕΥΒΟΙΑΣ       

ΓΥΡΟΣ ΚΑΔΜΕΙΑΣ 2015

Δεκέμβριος 27, 2015

ΑΓΩΝΑΣ  ΔΡΟΜΟΥ «ΓΥΡΟΣ  ΚΑΔΜΕΙΑΣ  2015»

Κυριακή  27  ΔΕΚΕΜΒΡΙΟΥ  2015

ΩΡΑ  12:00μεσημβρινή

 

ΟΡΓΑΝΩΣΗ:  ΔΗΜΟΤΙΚΟΣ  ΟΡΓΑΝΙΣΜΟΣ ΘΗΒΑΣ

ΣΥΝΔΙΟΡΓΑΝΩΤΕΣ:Γ.Σ.  ΠΙΝΔΑΡΟΣ  – Σ.Δ.Υ.Μ. ΘΗΒΑΣ –Ε.Α.Σ ΣΕΓΑΣ ΑΝΑΤ. ΣΤΕΡΕΑΣ & ΕΥΒΟΙΑΣ       

Ο Σύλλογος Δρομέων Υγείας Μαραθωνοδρόμων  Θήβας,εν όψει των εορτών των Χριστουγέννων,  καλεί  όλους τους θηβαίους πολίτες σ” έναν πρωτοφανή «αγώνα»…ζωής, αγάπης και ανθρωπιάς με τη διοργάνωση  νέας εθελοντικής αιμοδοσίας, την Κυριακή 13 Δεκεμβρίου 2015,   από τις 09:00π.μ έως και τις 13:00μ.μ  στο 1ο Δημοτικό Σχολείο στο κέντρο της Θήβας (Δίρκης 18).

-

 

 

 
 
 
 

Καλεντάρι

Error: No articles to display